接着再植(歯根破折の治療)
このページの目次
歯の根っこにヒビが入っても歯を抜かないで済む接着再植とは

こんにちわ。北海道札幌市の歯科医院の、たけいし歯科クリニックです。このページでは歯根破折治療である接着再植術についてご説明します。
歯根破折(しこんはせつ)とは?
さて、日本人が歯を失う原因の第1位は歯周病、第2位がむし歯と言われていますが、第3位は、歯根破折(しこんはせつ)と言われているものです。歯根破折はその名の通り、歯の根っこにヒビが入った状態のことを指します。
「歯の根っこにヒビが入っているから抜歯だね」
「歯に亀裂が入ってるから抜歯だね」
一般的には、歯根にヒビが入ったことが原因で違和感を感じる状態になったら、まずほとんどのケースで大抵の歯科医院では抜歯宣告を受けます。
しかし、このページでは「歯根破折になっても(歯の根っこにヒビが入っても)抜歯になりづらい治療法」をご紹介します。
接着再植術で歯根や歯のヒビを修復して抜歯を回避
歯根にヒビが入った場合でも、《一度その歯を抜き、素早くヒビを接着し修復したうえでもう一度同じ場所に埋め込む接着再植術》という治療法を行うことで、抜歯を避ける治療法があります。
しかし、接着再植に対応している歯科医院は1%程度であることから、ほとんどの歯科医院では対応していない、イコール、ほとんどの歯科医院では歯根にヒビが入ってしまった場合は抜歯になるということなのです。
歯根破折だと、なぜ抜歯になるのか?
では、どうして歯根破折を起こすと歯を抜かないといけないのでしょうか。
口の中で歯には色々な力が加わるのですが、その結果歯が欠けたり割れたりすることがあります。その割れる範囲が小さく、歯茎の中まで亀裂が及んでいない場合は、通常のむし歯の治療と同じように詰めたり被せたりすることができます。
ところが、その亀裂が歯茎の中にまで及ぶと、そこ亀裂の中のバイ菌が歯茎の中に入り、それにより化膿し炎症を起こします。そのような状態になったとき、通常はその破折した状態を改善することができないため、何らかの障害が起きた場合は、速やかに歯を抜くしかなくなってしまうのです。
接着再植とは、そのような歯根破折を起こした歯をなんとか抜かないで済ませるための、唯一の治療法と言えます。それでは接着再植はどのような手順で行うのか、治療の流れをご説明します。
歯根破折を接着再植術で治療する場合の流れ

▲こちらの患者さんは、歯茎が腫れてきたと訴え来院されました。歯茎に、膿がたまったような腫れがあるのが分かります。

▲咬み合わせのほうから見ると、歯に亀裂があるのが分かります(赤い線で囲ったところ)。 (この患者さんの場合は、神経が生きている状態にもかかわらず歯が割れてしまいました(神経が生きているうちに割れることは比較的少ない)。)

▲レントゲンでは割れているかどうかはわかりません。しかし、根の先のあたりが黒くなっているのが見えます。これは歯が割れたところから神経にバイ菌が入ってしまい、そのバイ菌が根の先のほうまで広がったことによって、このように見えているのです。
つまり、歯根破折が原因で周囲が化膿した状態であったということです。前述したように、通常はこの場合は歯を抜かないとこの腫れは改善しません。 そこで、この歯を抜かないための治療法として、「接着再植」という処置法を適用しました。 その方法は、まず、その歯をなるべく傷めないように抜くことからスタートします。

▲抜歯をした歯です。亀裂が入っているが見えるかと思います。

▲次に、この亀裂が入っている部分を切削器具で切除し、隙間を作ります。

▲隙間ができたら、次にその亀裂を強力な接着剤でこのように張り合わせます。通常、こうして亀裂を埋めるときには、同時にグラスファイバーの芯を入れて、歯の補強をし、土台の形を作り上げます。

▲接着剤が硬化したら抜いた元のところに戻し、隣の歯と固定し安静を保ちます。

▲このレントゲンは再植直後に撮影したものですが、根の中央に白っぽく見えているのがファイバーコアです。根の先のほうに白く見えているものは根尖孔(こんせんこう)という、根の先の穴をふさぐための、スーパーボンドという接着剤です。それにより、根尖孔から周囲にバイ菌が漏れていかないように防いでいます(根の中は無菌ではないため)。

▲不思議なことに、根の表面の歯根膜(しこんまく)という膜組織があまり損傷されていなければ、一度抜いた歯でも骨が再び結合するのです。ただし、しばらくの期間、歯と骨の結合を待つ期間が必要なので、この状態で再植した箇所では噛まずに、別の箇所で噛むことを心がけて過ごしていただきます(この症例の骨の結合待機期間は3週間でしたが、多少個人差があります)。結合したら根管治療を施し、被せ物治療に移ります。

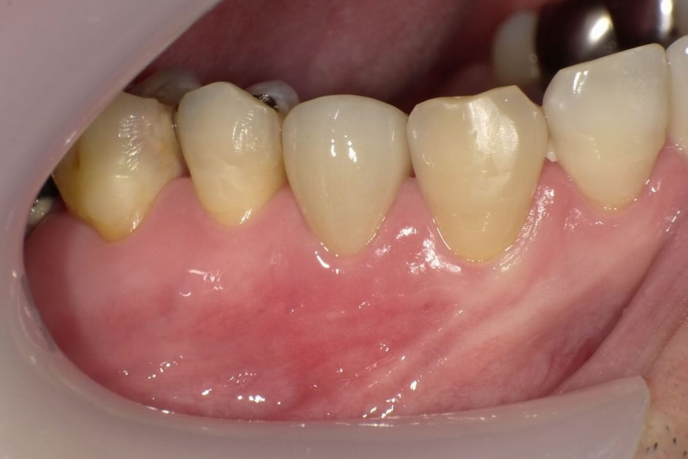
▲3週間の待機期間後からは、仮の歯を被せて噛み始めてもらいました。適度な噛む刺激が加わることで、抜歯によって多少損なわれた歯根膜の再生が、より活性化され、元通りの正常な組織への復活が促進されていくと考えられています。この状態で数週間から数ヶ月間、経過観察をします。写真のとおり、治療前に腫れていた歯茎も治りました。

▲問題がなければ最終的に被せるクラウンの型どりを行い、セラミックの歯を装着して治療を終了します。咬合面側から見たアングルです。歯を抜くことにならずに患者様も満足、私も歯科医師として接着再植治療には大変やりがいを感じています。
接着再植治療の治療期間
接着再植治療に要する治療期間は、概ね抜歯から再植までは1日で完了し、そこから歯根膜と骨の結合期間として2~5週間、仮歯での経過観察期間として3~30週間がかかりますので、接着再植治療の治療期間は合計で5~34週間程度かかります。
接着再植治療の治療費の相場
接着再植の治療費は、100,000円前後が相場だと思います。さらにその接着再植治療費に加え、支台築造と被せ物治療費が加算されます。接着再植術はインプラント治療と比較しても割安の治療費となりますし、人工の歯とご自身の歯の違いは大きなになりますね。
たけいし歯科クリニック(北海道札幌市東区の歯科)の接着再植の治療費
※全て税込みとなります。
| 名称 | 内容 | 料金(税込) |
|---|---|---|
| 接着再植費 | 接着治療当日に55,000円(税込)、再植後経過良好であり仮歯を被せた時点で33,000円(税込)のお支払いいただきます。 | 88,000円 |
| 支台築造費 | 仮歯を被せた時にお支払いいただきます。 | 16,500円 |
| 被せ物 | 接着再植治療が自由診療のため、被せものも自由診療請求となります。素材(銀歯やセラミックなど)によって金額が変動します。 | 27,500~143,000円 |
※接着再植治療費は上記3点の合計となりますので、最も安い組み合わせで132,000円となります。
なぜ歯根にヒビが入るのか?歯根破折の原因は?
歯根破折は、通常、歯の神経を除去した歯(いわゆる失活歯)において生じることが多いです。神経を除去した歯は、血液等の循環がなくなるため、歯の強度を保つことができず、次第にもろくなっていくのです。そのため、口の中で繰り返し咬む力が加わり続けたことにより、根の部分が割れてしまうのです。
歯周病もむし歯も、コマーシャル等で頻繁に聞いたことがあるかと思いますが、歯根破折という言葉を聞いたことのある人は少ないのではないでしょう。歯根破折は、歯周病やむし歯のように歯ブラシでは防ぐことができないのです。だから歯ブラシなどのコマーシャルに出てくることはないのだと思います。
歯根破折の症状、痛みについて
歯根破折した場合、虫歯でもない、見た目は正常、平常時は痛くないのに、噛むと痛い(その歯に負荷を加えると痛み走る)といった症状や、歯の根っこの先が炎症を起こし、排膿して歯ぐきがプクッと腫れる症状を伴います。放って置くと、症状が悪化するので、早めに接着再植治療を行っている歯科医院を受診してください。
北海道札幌市で歯根破折治療である接着再植なら、当院へ

北海道札幌市東区で歯根破折治療(接着再植術)をご検討の方、また他の歯科医院様で抜歯を勧められた方は、たけいし歯科クリニックへご相談ください。すべてのケースが接着再植で修復できるとは限りませんが、できる限り対応させていただきます。まずは相談でも結構ですので、ぜひお気軽にご来院ください。






